Gartner duct cyst pathology images are available in this site. Gartner duct cyst pathology are a topic that is being searched for and liked by netizens today. You can Download the Gartner duct cyst pathology files here. Download all free photos and vectors.
If you’re looking for gartner duct cyst pathology images information related to the gartner duct cyst pathology topic, you have come to the ideal site. Our website always provides you with hints for seeking the maximum quality video and picture content, please kindly hunt and locate more informative video content and graphics that match your interests.
Visual survey of surgical pathology with 10923 high quality images of benign and malignant neoplasms related entities. The differential diagnosis between mullerian and gartner s duct cysts requires histochemical evaluation of epithelial mucin production. Cases in gynecologic pathology. Vaginal inclusion cyst epidermal inclusion cyst squamous epithelium. Most common vaginal cyst.
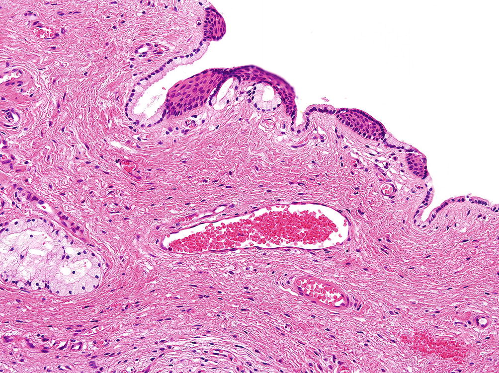
Gartner Duct Cyst Pathology. A collection of surgical pathology images gartner duct cyst. The differential diagnosis between mullerian and gartner s duct cysts requires histochemical evaluation of epithelial mucin production. Benign vaginal cysts are in the majority of cases asymptomatic and are often incidentally discovered during gynecological examination for other purposes. A gartner s duct cyst sometimes incorrectly referred to as vaginal inclusion cyst is a benign vaginal cyst that originates from the gartner s duct which is a vestigial remnant of the mesonephric duct wolffian duct in females.
File Gartner Duct Cyst Transitional Lining 4881813831 Jpg Wikimedia Commons From commons.wikimedia.org
She denies any pain or symptoms associated with the cyst. Most common vaginal cyst. They are typically small asymptomatic cysts that occur along the lateral walls of the vagina following the course of the duct. Bartholin s duct cysts were lined by transitional mucin rich columnar or squamous epithelium and were frequently accompanied by inflammation. Gartner s duct cyst cuboidal epithelium. Bartholin s cyst squamous or columnar cells usu.
They are typically small asymptomatic cysts that occur along the lateral walls of the vagina following the course of the duct.
A gartner s duct cyst sometimes incorrectly referred to as vaginal inclusion cyst is a benign vaginal cyst that originates from the gartner s duct which is a vestigial remnant of the mesonephric duct wolffian duct in females. Developed by renowned radiologists in each specialty statdx provides comprehensive decision support you can rely on gartner duct cysts. Gartner duct cysts of vagina are types of vaginal cyst. Gartner duct cysts are located in the anterolateral wall of the proximal superior portion of the vagina 2 and are typically located above the level of the most inferior aspect of the pubic symphysis. During a routine pelvic exam a 20 year old woman has a 1 cm cystic mass incidentally discovered on the lateral wall of the vagina. The differential diagnosis between mullerian and gartner s duct cysts requires histochemical evaluation of epithelial mucin production.
Source: en.wikipedia.org
Gartner s duct cyst cuboidal epithelium. Gartner duct cysts are located in the anterolateral wall of the proximal superior portion of the vagina 2 and are typically located above the level of the most inferior aspect of the pubic symphysis. Müllerian cyst endocervical epithelium. It is a benign cyst that is lined by non secretory cuboidal columnar epithelial cells when observed under a microscope by a pathologist. Aka epidermal inclusion cyst.
Source: twitter.com
Most common vaginal cyst. During a routine pelvic exam a 20 year old woman has a 1 cm cystic mass incidentally discovered on the lateral wall of the vagina. Visual survey of surgical pathology with 10923 high quality images of benign and malignant neoplasms related entities. Bartholin s duct cysts were lined by transitional mucin rich columnar or squamous epithelium and were frequently accompanied by inflammation. A collection of surgical pathology images gartner duct cyst.
Source: link.springer.com
A gartner s duct cyst sometimes incorrectly referred to as vaginal inclusion cyst is a benign vaginal cyst that originates from the gartner s duct which is a vestigial remnant of the mesonephric duct wolffian duct in females. Visual survey of surgical pathology with 10923 high quality images of benign and malignant neoplasms related entities. These are also known as mesonephric cysts of vagina there are no clearly established risk factors. Bartholin s cyst squamous or columnar cells usu. Vaginal inclusion cyst epidermal inclusion cyst squamous epithelium.
Source: europepmc.org
She has no past medical history. A gartner s duct cyst sometimes incorrectly referred to as vaginal inclusion cyst is a benign vaginal cyst that originates from the gartner s duct which is a vestigial remnant of the mesonephric duct wolffian duct in females. These are also known as mesonephric cysts of vagina there are no clearly established risk factors. Most common vaginal cyst. During a routine pelvic exam a 20 year old woman has a 1 cm cystic mass incidentally discovered on the lateral wall of the vagina.
Source: commons.wikimedia.org
These are also known as mesonephric cysts of vagina there are no clearly established risk factors. Gartner s duct cyst cuboidal epithelium. It is a benign cyst that is lined by non secretory cuboidal columnar epithelial cells when observed under a microscope by a pathologist. Uterine tube fallopian tube ovary. A collection of surgical pathology images gartner duct cyst.
Source: wikiwand.com
Gartner duct cysts of vagina are types of vaginal cyst. Müllerian cyst endocervical epithelium. Cases in gynecologic pathology. Gartner duct cysts are located in the anterolateral wall of the proximal superior portion of the vagina 2 and are typically located above the level of the most inferior aspect of the pubic symphysis. A gartner s duct cyst sometimes incorrectly referred to as vaginal inclusion cyst is a benign vaginal cyst that originates from the gartner s duct which is a vestigial remnant of the mesonephric duct wolffian duct in females.
Source: pathologyjournal.rcpa.edu.au
She denies any pain or symptoms associated with the cyst. Aka epidermal inclusion cyst. A gartner s duct cyst sometimes incorrectly referred to as vaginal inclusion cyst is a benign vaginal cyst that originates from the gartner s duct which is a vestigial remnant of the mesonephric duct wolffian duct in females. It is a benign cyst that is lined by non secretory cuboidal columnar epithelial cells when observed under a microscope by a pathologist. Benign vaginal cysts are in the majority of cases asymptomatic and are often incidentally discovered during gynecological examination for other purposes.
Source: semanticscholar.org
The differential diagnosis between mullerian and gartner s duct cysts requires histochemical evaluation of epithelial mucin production. Like other cysts they are lined with non mucinous cuboidal or columnar epithelium. A gartner s duct cyst sometimes incorrectly referred to as vaginal inclusion cyst is a benign vaginal cyst that originates from the gartner s duct which is a vestigial remnant of the mesonephric duct wolffian duct in females. During a routine pelvic exam a 20 year old woman has a 1 cm cystic mass incidentally discovered on the lateral wall of the vagina. Gartner duct cysts are located in the anterolateral wall of the proximal superior portion of the vagina 2 and are typically located above the level of the most inferior aspect of the pubic symphysis.
Source: commons.wikimedia.org
The differential diagnosis between mullerian and gartner s duct cysts requires histochemical evaluation of epithelial mucin production. Bartholin s cyst squamous or columnar cells usu. Visual survey of surgical pathology with 10923 high quality images of benign and malignant neoplasms related entities. She has no past medical history. Like other cysts they are lined with non mucinous cuboidal or columnar epithelium.
Source: link.springer.com
Bartholin s duct cysts were lined by transitional mucin rich columnar or squamous epithelium and were frequently accompanied by inflammation. Gartner duct cysts are located in the anterolateral wall of the proximal superior portion of the vagina 2 and are typically located above the level of the most inferior aspect of the pubic symphysis. It is a benign cyst that is lined by non secretory cuboidal columnar epithelial cells when observed under a microscope by a pathologist. Like other cysts they are lined with non mucinous cuboidal or columnar epithelium. Aka epidermal inclusion cyst.
Source: pathologyoutlines.com
Cases in gynecologic pathology. Müllerian cyst endocervical epithelium. Visual survey of surgical pathology with 10923 high quality images of benign and malignant neoplasms related entities. These are also known as mesonephric cysts of vagina there are no clearly established risk factors. Developed by renowned radiologists in each specialty statdx provides comprehensive decision support you can rely on gartner duct cysts.
This site is an open community for users to do sharing their favorite wallpapers on the internet, all images or pictures in this website are for personal wallpaper use only, it is stricly prohibited to use this wallpaper for commercial purposes, if you are the author and find this image is shared without your permission, please kindly raise a DMCA report to Us.
If you find this site good, please support us by sharing this posts to your own social media accounts like Facebook, Instagram and so on or you can also bookmark this blog page with the title gartner duct cyst pathology by using Ctrl + D for devices a laptop with a Windows operating system or Command + D for laptops with an Apple operating system. If you use a smartphone, you can also use the drawer menu of the browser you are using. Whether it’s a Windows, Mac, iOS or Android operating system, you will still be able to bookmark this website.





